Explore real patient journeys and see how we've helped transform smiles and boost confidence through our advanced dental procedures.


Complete dentures are prosthetic devices that replace all natural teeth in either jaw. They restore the ability to chew, speak, and maintain facial appearance.
Initial consultation and exam
1-2 appointments
Impressions and measurements
1 appointment
Fabrication
2-3 weeks
Final fitting
1 appointment plus follow-ups
""


Professional teeth whitening removes years of stains and discoloration, revealing a brighter, more confident smile.
Single Tooth Restoration
30 minutes to 1 hour
Multiple Restorations
1.5 to 2 hours
""


Invisalign uses clear aligners to gradually straighten teeth, offering a nearly invisible alternative to traditional braces.
Initial consultation
1 appointment
3D scanning
1 appointment
Treatment plan
2 weeks
Regular check-ups
Every 6-8 weeks
""


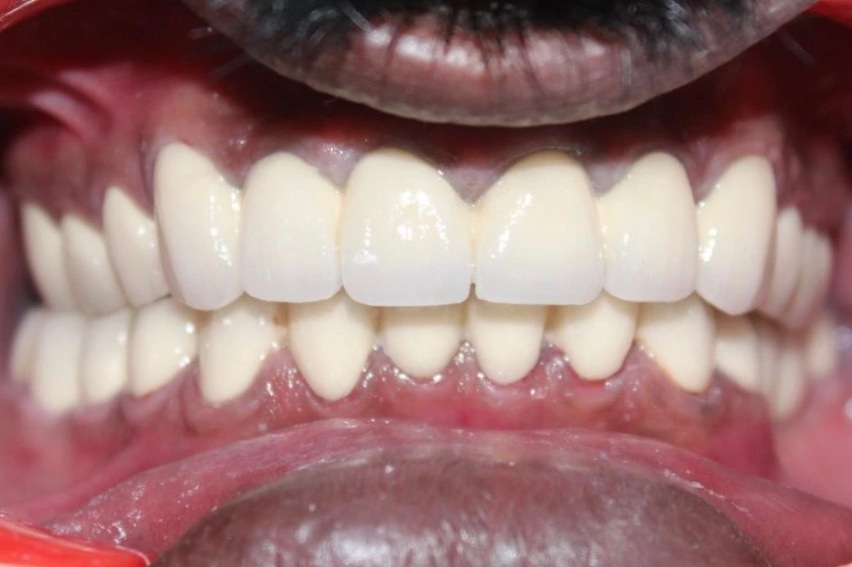
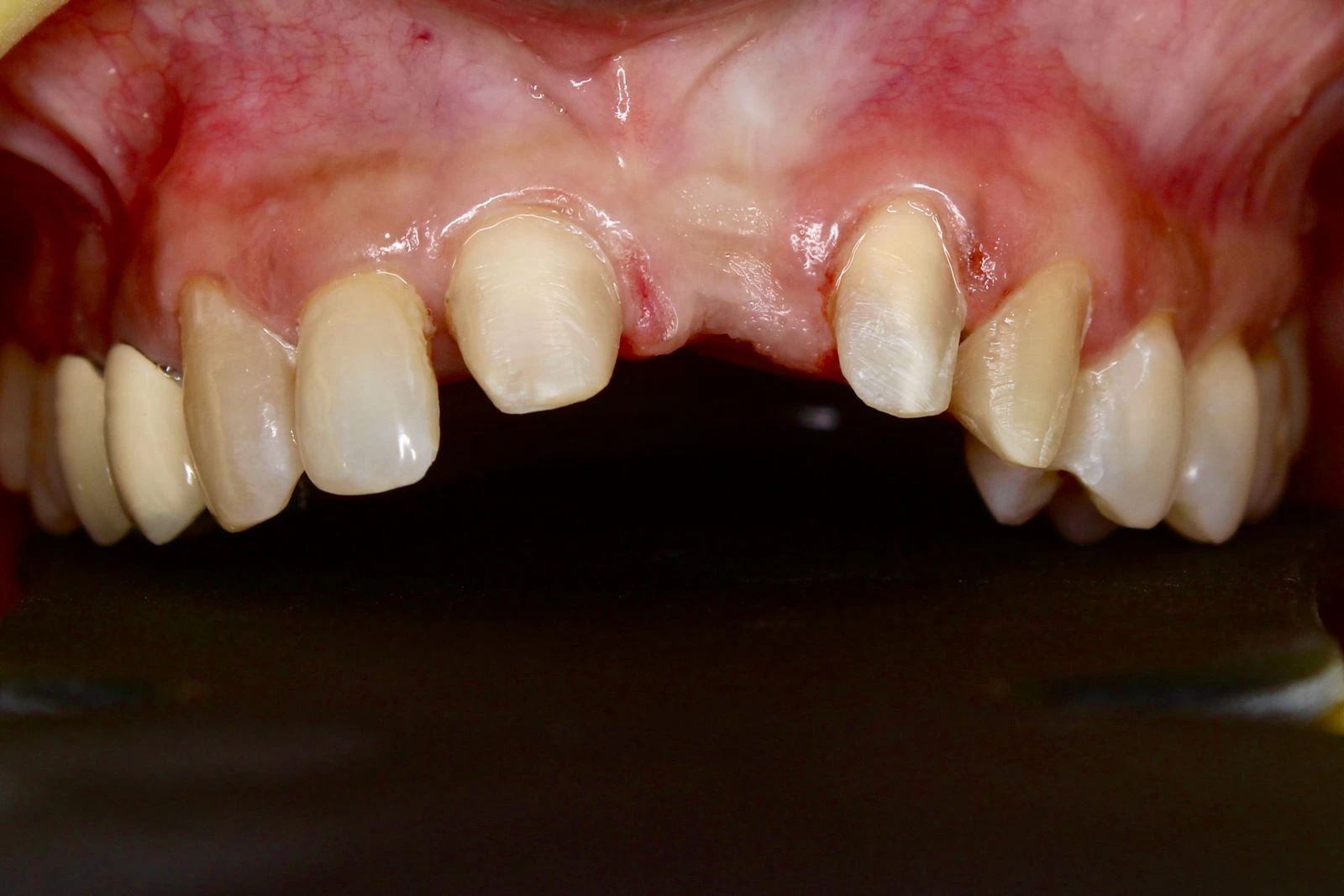
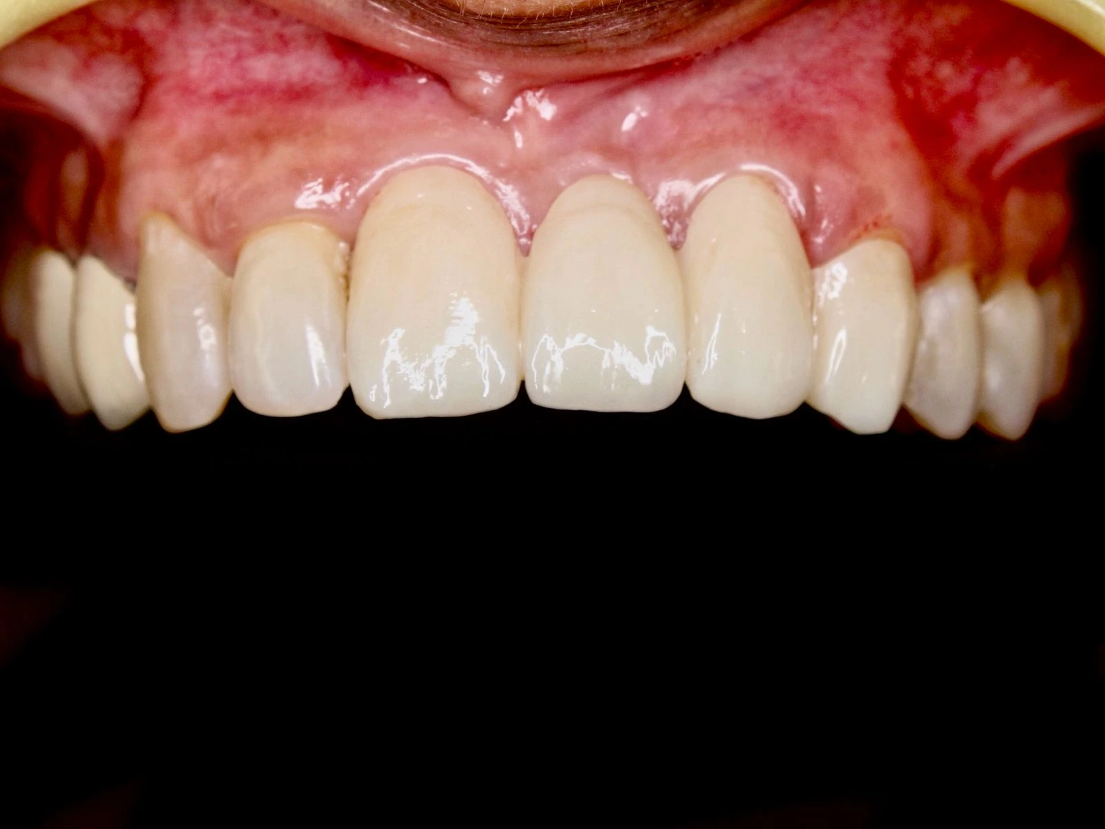
Crowns and bridges are fixed prosthetic devices used to restore damaged teeth and replace missing teeth.
Crown - First Visit
1-2 hours
Crown - Second Visit
30-60 minutes
Same-Day Crown
2-3 hours
Bridge - First Visit
1-2 hours
Bridge - Second Visit
1 hour
""


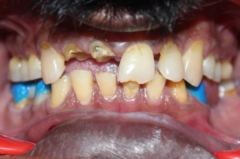
Full mouth rehabilitation involves restoring all teeth in the upper and lower jaws to improve function and appearance.
Full Mouth Rehabilitation - Standard Case
6 months to 1 year
Full Mouth Rehabilitation - Complex Case
1.5-2 years
""